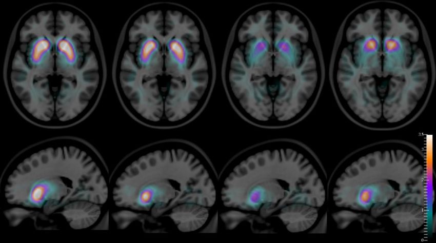
Scansioni SPECT, sovrapposte su una risonanza magnetica Atlas, di una fetta assiale (riga superiore) e una sagittale (riga inferiore) del cervello umano, con una scala di colore artificiale quantitativa che mostra le differenze nella distribuzione media del composto radioattivo [123i]FP-CIT nello striato di controlli sani, persone con Alzheimer, con demenza da corpi Lewy e con Parkinson (da sinistra a destra).
L'attore americano Robin Williams aveva una malattia neurodegenerativa del cervello chiamata demenza da corpi di Lewy (DLB): una malattia angosciante, con sintomi in comune con il morbo di Alzheimer (MA) e di Parkinson (MP). Ma a differenza di queste due condizioni, la DLB comporta anche cambi notevoli di umore e mutamenti cognitivi, disturbi del sonno e allucinazioni visive vivide e a volte terrificanti.
Ora si ritiene che Robin Williams, la cui diagnosi è stata accertata solo post-mortem, sia probabilmente stato spinto al suicidio, nel 2014, dalle terrificanti esperienze allucinatorie sofferte per anni, e di cui non ha mai parlato a nessuno, nemmeno a sua moglie. Susan Schneider Williams ha raccontato la tragica storia in un editoriale pubblicato nel 2016 sulla rivista Neurology, sotto il titolo "Il terrorista all'interno del cervello di mio marito".
La DLB è relativamente un nuovo arrivato nel paesaggio della demenza. Viene di frequente confusa dai medici con il MA, ma anche con la demenza che affligge un numero significativo di pazienti di MP (fino all'80%), in media 10 anni dopo l'inizio del morbo.
La DLB è stata identificata nel 1910, quando un neurologo americano originario della Germania, Frederic Enhorist Lewy, in fase di autopsia ha osservato nel cervello con MP e nei pazienti con demenza, 'ciuffi' di una proteina insolita (anche il cervello di MA presenta ciuffi proteici, ma le proteine coinvolte sono diverse). Tuttavia, è solo di recente che la demenza da corpi di Lewy è stata riconosciuta come tipo comune di demenza.
"È la seconda causa più frequente di demenza degenerativa negli anziani (dal 15 al 25% dei casi all'autopsia)", dopo il MA, scrive un team internazionale, che comprende scienziati del Champalimaud Centre for the Unknown (CCU) di Lisbona in Portogallo, in un nuovo studio pubblicato il 5 febbraio 2021 nel Journal of Neurology, Neurosurgery and Psychiatry.
Da diversi anni, afferma Durval Costa (autore senior del nuovo studio e capo del laboratorio di radiofarmacologia del Champalimaud Experimental Clinical Research Programme) si ipotizza che l'uso di una tecnica di scansione chiamata SPECT (tomografia computerizzata a emissione di singolo fotone), combinata con l'iniezione endovenosa del composto radioattivo [123i]FP-CIT, dovrebbe consentire di distinguere la demenza da corpi di Lewy dal MA.
Ciò è dovuto al fatto che il [123i]FP-CIT si lega ai trasportatori della dopamina (un neurotrasmettitore) situati sulla membrana dei neuroni produttori di dopamina, che sono molto abbondanti in una parte specifica del cervello chiamata striato.
Dal momento che i neuroni striatali che producono dopamina sono esauriti nella demenza da corpi di Lewy (proprio come lo sono nel MP), ma non nel MA, era naturale presumere che lo schema di distribuzione di questo composto nel cervello dei pazienti, rivelato dalle sue emissioni radioattive (catturate da una fotocamera speciale), possano consentire ai medici di visualizzare la DLB, e di distinguerla in modo quantitativamente accurato dal MA.
I risultati ora presentati dal team sono il frutto di un lavoro durato più di vent'anni. "I dati di scansione sono stati acquisiti intorno al 1996-1999", spiega Francisco Oliveira, che lavora nel laboratorio di Durval Costa ed è il primo autore del nuovo studio. "Questi pazienti sono stati seguiti dal momento della diagnosi clinica iniziale (e della raccolta delle immagini) a quella della morte, in alcuni casi, per circa 20 anni".
Parte della stessa squadra aveva già pubblicato risultati preliminari nel 2002 nella stessa rivista che ora ha rilasciato i nuovi risultati quantitativi. Ma a quel tempo il materiale post-mortem della coorte del paziente non era ancora completamente disponibile, quindi non erano riusciti a confrontare la diagnosi in vivo con i rapporti dell'autopsia in un numero sufficiente di pazienti. "Non avevamo tutti i dati allora", osserva Durval Costa. "Ora li abbiamo".
E, per la prima volta, le autopsie confermano i dati di scansione con precisione molto elevata: le immagini ottenute consentono non solo di differenziare la DLB dal MA, ma anche la DLB dal MP (i cui modelli di distribuzione [123I]FP-CIT corrispondenti sono anche diversi da un paziente all'altro). Tornando agli anni finali strazianti di Robin Williams, è degno di nota che i suoi medici alla fine gli avevano dato la diagnosi di MP anche se lui e sua moglie erano certi che c'era qualcos'altro di molto sbagliato in lui.
"È cruciale riuscire a fare quantitativamente queste distinzioni tra le malattie", afferma Francisco Oliveira. "Queste malattie possono presentare sintomi sovrapposti, il che rende difficile la diagnosi clinica in alcuni casi e dà origine a una percentuale considerevole di diagnosi errate. Gli studi hanno dimostrato che, di frequente, i pazienti con DLB ricevono la diagnosi clinica di MA".
Questo potrebbe portare alla cattiva gestione del paziente. La cura dei pazienti con MA è diversa da pazienti affetti da DLB. I pazienti con DLB sono molto sensibili a determinati tipi di farmaci che dovrebbero essere evitati, in quanto portano a deterioramento e morte più rapidi.
"I nostri risultati possono avere un impatto significativo sia per i pazienti che per i caregiver", aggiunge Francisco Oliveira. "Inoltre, la selezione dei pazienti per gli studi clinici può ora essere eseguita con biomarcatori più accurati".
Gli scienziati sperano anche che, in futuro, la loro tecnica quantitativa possa aiutare a differenziare pazienti MP con demenza dai pazienti con DLB, poiché possono beneficiare di diverse strategie di trattamento.
Fonte: Champalimaud Centre for the Unknown via EurekAlert! (> English) - Traduzione di Franco Pellizzari.
Riferimenti: Francisco Oliveira, Zuzana Walker, Rodney Walker, Johannes Attems, Joana Castanheira, Ângelo Silva, Carla Oliveira, Sofia Vaz, Mariana Silva, Durval Costa. 123I FP-CIT SPECT in dementia with Lewy bodies, Parkinson’s disease and Alzheimer’s disease: a new quantitative analysis of autopsy confirmed cases. Journal of Neurology, Neurosurgery and Psychiatry, Feb 2021, DOI
Copyright: Tutti i diritti di testi o marchi inclusi nell'articolo sono riservati ai rispettivi proprietari.
Liberatoria: Questo articolo non propone terapie o diete; per qualsiasi modifica della propria cura o regime alimentare si consiglia di rivolgersi a un medico o dietologo. Il contenuto non rappresenta necessariamente l'opinione dell'Associazione Alzheimer OdV di Riese Pio X ma solo quella dell'autore citato come "Fonte". I siti terzi raggiungibili da eventuali collegamenti contenuti nell'articolo e/o dagli annunci pubblicitari sono completamente estranei all'Associazione, il loro accesso e uso è a discrezione dell'utente. Liberatoria completa qui.
Nota: L'articolo potrebbe riferire risultati di ricerche mediche, psicologiche, scientifiche o sportive che riflettono lo stato delle conoscenze raggiunte fino alla data della loro pubblicazione.
















Associazione Alzheimer OdV